توضیحات تکمیلی در مورد آیس دنت
لابراتوار آیس دنت که در زمینه پروتز های ثابت و متحرک اماده ارائه خدمات است ، چرا باید توسط شما انتخاب شود؟
- تحویل سریع: با سپردن کارهای خودتان به ما دیگر نگران بدقولی و تحویل دیرهنگام کارها به بیماران نباشید، تیم آیس دنت همیشه در تلاش است کارهای شما را در سریع ترین زمان ممکن به دست شما برساند.
- کیفیت بالا: تضمین در کیفیت، کار هرکسی نیست، تیم ما با کادر مجرب خود همیشه در تلاش خواهد بود که بهترین کیفیت را به شما ارائه دهد تا بیماران از شما و شما از تیم ما راضی باشید.
- قیمت مناسب: بعد از دیدن کیفیت کار دیگر هزینه ساخت پروتز برای شما مهم نخواهد بود، با این حال لابراتوار آیس دنت همیشه سعی در این دارد که بهترین کیفیت را با کمترین هزینه به شما ارائه دهد.
خدمات ما
در زمینه پروتز ثابت:
- Zirconium
- implant
- PFM
- laminate
- inlays and onlays
- laminate
- post cure
- orthodontics
در زمینه پروتز متحرک:
- full denture
- partial denture
- acrylic
- flexible (Thermoplastic)
- Chrome cobalt
- snap on smile
- night gard
- Bleaching
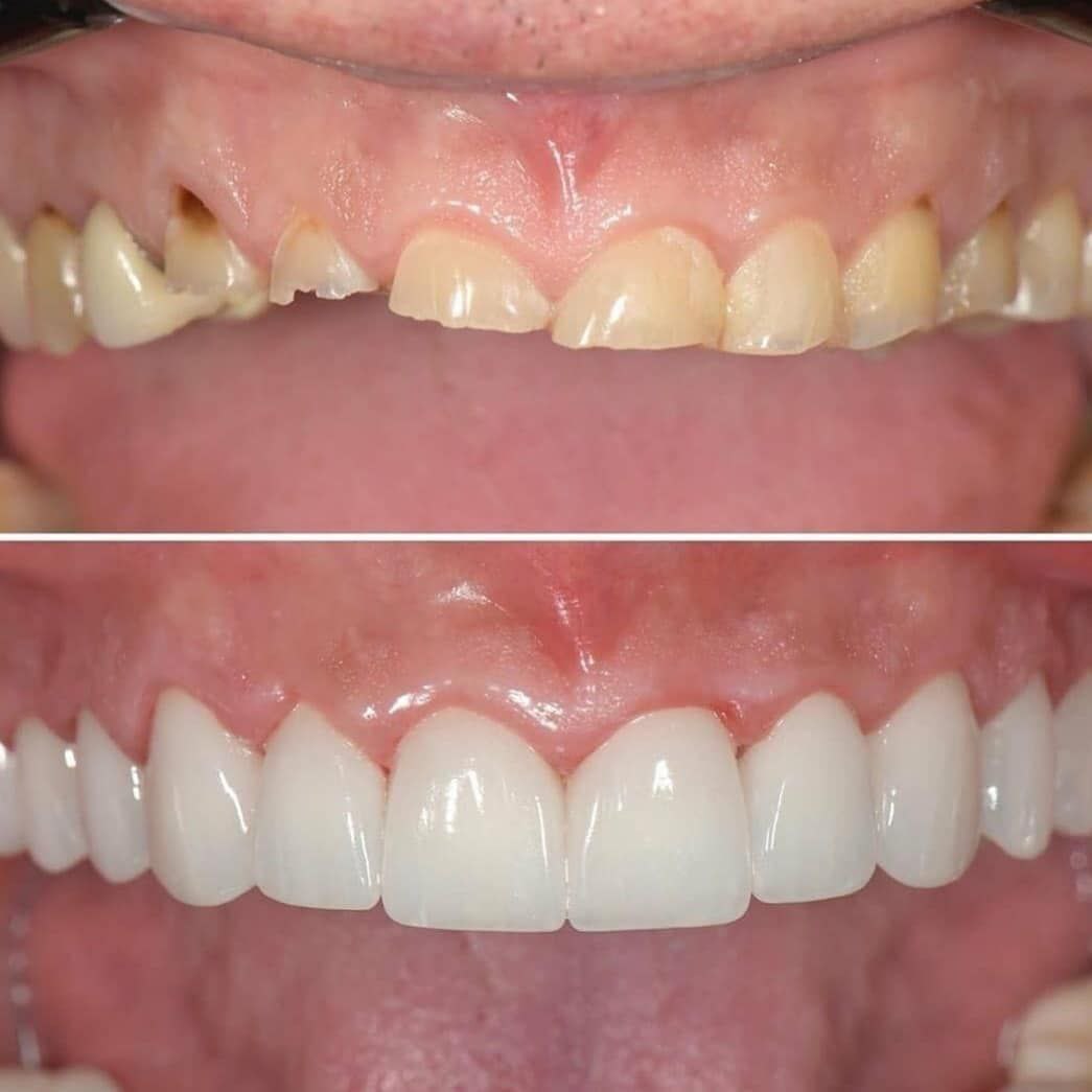
نمونه کارهای پروتز ثابت









نمونه کارهای پروتز متحرک













